Mesothelioma is a rare but aggressive cancer that affects the mesothelial cells, typically found in the lining of the lungs, heart, or abdomen. It is primarily caused by prolonged exposure to asbestos. Asbestos is a naturally occurring mineral used in various industries.
Early diagnosis of mesothelioma is crucial for a better prognosis and effective treatment. In this post, we will explore the key tests and medical procedures used in diagnosing mesothelioma, shedding light on the importance of early detection and management.
Medical History and Physical Examination
The diagnostic journey of mesothelioma starts with a comprehensive medical history and physical examination. Doctors will inquire about your occupational history, exposure to asbestos, and any symptoms you may be experiencing.
They will also conduct a thorough physical examination to look for signs of potential mesothelioma, such as fluid buildup in the chest or abdomen, and any other abnormalities.
Imaging Tests
Imaging tests play a vital role in diagnosing mesothelioma and determining its extent. There are three common types of imaging tests used:
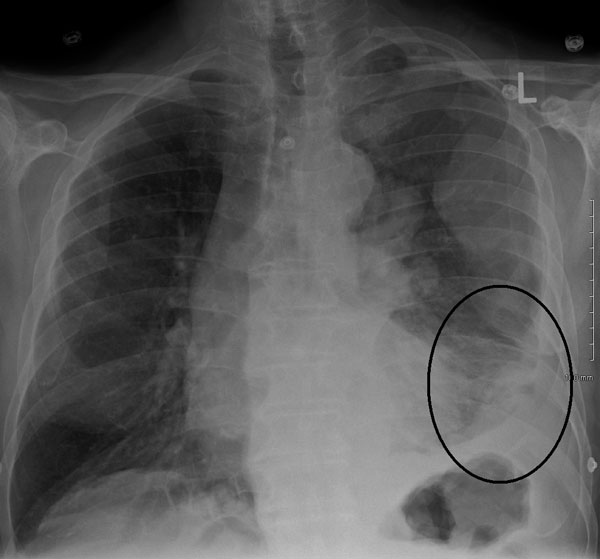
X-rays
X-rays can reveal the presence of fluid accumulation, thickening of the pleura (lining of the lungs), or any mass indicative of mesothelioma.

Computed Tomography (CT) Scans
CT scans provide detailed cross-sectional images of the affected areas, enabling doctors to assess the size and location of tumors accurately.
Magnetic Resonance Imaging (MRI)
MRIs are particularly useful in detecting mesothelioma in soft tissues and can help in identifying the cancer's involvement in vital organs.
Biopsies
A biopsy is the most definitive diagnostic procedure for mesothelioma. There are different types of biopsies, and the choice depends on the location and accessibility of the tumor. Some common biopsy methods include:
Thoracoscopy
For suspected pleural mesothelioma, a thoracoscopy is performed by inserting a thin tube with a camera (thoracoscope) into the chest through a small incision. This allows the doctor to visualize the pleura and obtain a tissue sample for analysis.
Laparoscopy
This procedure is used for suspected peritoneal mesothelioma and involves inserting a similar tube with a camera (laparoscope) into the abdomen to obtain tissue samples.
Fine Needle Aspiration (FNA)
In cases where the tumor is difficult to access surgically, an FNA may be performed. A thin needle is guided into the tumor to extract a small sample for examination.
Surgical Biopsy
In certain cases, a traditional surgical biopsy may be necessary to obtain a larger tissue sample for a more accurate diagnosis.
Biomarker Testing
Biomarker testing involves analyzing specific proteins or substances in the blood or tissues that are indicative of mesothelioma. One such biomarker is soluble mesothelin-related peptides (SMRP). Elevated levels of SMRP can suggest the presence of mesothelioma, although it is not entirely specific to this cancer. Biomarker testing is often used in combination with other diagnostic methods for a more comprehensive assessment.
Pulmonary Function Tests
Since mesothelioma commonly affects the lungs, pulmonary function tests are conducted to assess the lung capacity and function. These tests can help identify any respiratory impairment caused by the disease and guide treatment decisions.
Mesothelioma is challenging cancer to diagnose due to its rarity and non-specific symptoms in the early stages. However, with advancements in medical technology and a better understanding of the disease, early diagnosis is becoming increasingly feasible. Medical history, physical examination, imaging tests, biopsies, biomarker testing, and pulmonary function tests are crucial tools that aid in the accurate diagnosis of mesothelioma.
If you have a history of asbestos exposure or are experiencing symptoms such as persistent cough, chest pain, or unexplained weight loss, it is essential to consult a healthcare professional promptly. Early detection and intervention can significantly improve the prognosis and quality of life for those affected by this aggressive cancer.




